Unexpected Puppies Are So Wild Even Veterinarians Are Scratching Heads
                                                                    Trending
										                                                                                        
                                                                                                By Angeline Smith
                                                                                        
                                                                                										
                                                                
                                                                                                                                                                                                                                                                                                                                                                                                                                                                                                                                                                                            
                                                                                                                                    
Bigger Than Expected

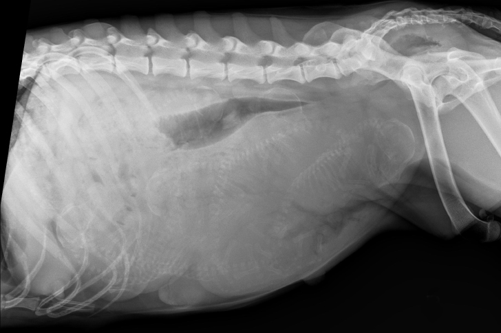
A glance at the morning radiographs told a fuller story than the belly alone. Spines and skulls overlapped like a string of beads, crowding space. The veterinarian felt the clock stretch in his mind, the shape of a long day forming. He met the owner’s eyes and explained gently that a large litter was likely to occur.
Techs laid warm towels, checked suction bulbs, and set tiny ID bands beside the scale. Fluids were prepared, heat pads were warmed, and charts were waiting with blank lines for arrival times. Dr. Greene washed, gloved, and nodded to begin. Now it would be patience and steady hands, letting the mother work while help hovered close, ready.
								
You must be logged in to post a comment Login